Un investigador en neurobiología ha logrado invertir el envejecimiento de su cerebro y asegura que cualquier persona es capaz de hacerlo siguiendo una serie de recomendaciones.
Durante 15 años, Brian Pennie, estudiante de doctorado en el Trinity College de Dublín (Irlanda) fue adicto a la heroína. Sin embargo, tras someterse a un curso de rehabilitación, decidió estudiar la composición y funcionalidad del cerebro para tratar de cambiar sus hábitos.
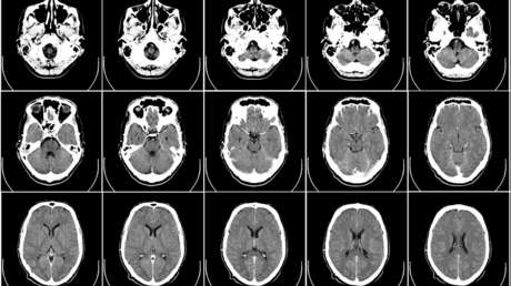
Cinco años después, Brian comparó las imágenes actuales de su cerebro con los escáneres cerebrales realizados cuando estaba pasando el curso de desintoxicación. Basándose en un método de evaluación de la edad cerebral a partir de la densidad de materia gris, Brian constató que había logrado rejuvenecer su cerebro en comparación con su estado anterior, de tal forma que su edad cerebral evaluada llegó a ser 10 años más joven que la cronológica, explica en su artículo para Medium.
"Nuestros cerebros son maleables, como la plastilina, y nuestras experiencias determinan su forma. Este proceso se compara mejor con el ejercicio físico. Por ejemplo, 30 repeticiones de levantamiento de pesas no agrandarán los músculos, pero 30 repeticiones al día durante un año sí que lo harán. Lo mismo pasa con el cerebro y, con el tiempo, su forma cambiará", explica el investigador y lector de dos universidades.
Pennie precisó que sensaciones, pensamientos y emociones negativas permanentes, como la ansiedad, la ira o las dudas, transforman el cerebro. Igualmente, se puede mejorar su estructura reorientándolo hacia lo positivo, para lo que da una serie de recomendaciones.
Meditar
Pennie cuenta que la meditación le ayudó a conseguir una conciencia plena y desapasionada de sus sensaciones, pensamientos y emociones, lo que le permitió superar la ansiedad.
"Varias investigaciones muestran que una práctica regular de conciencia plena debilita la capacidad de la amígdala de secuestrar las emociones. Esto sucede de dos formas. En primer lugar, la amígdala disminuye su tamaño físico. En segundo lugar, las conexiones entre la amígdala y las partes de la corteza asociadas con el miedo se debilitan, mientras que las conexiones asociadas con funciones cerebrales de orden superior, es decir, el autoconocimiento, se fortalecen", señala Pennie.
Arreglar la rutina del sueño
El sueño es importante para muchas funciones, incluida la interacción de neuronas y la evacuación de toxinas que se acumulan en el cerebro durante la vigilia. Pennie cuenta que, tras superar su adición, restauró el modo norma del sueño y que duerme al menos 7 horas al día.
Asimismo, cita a Nick Wignall, experto en este ámbito, que recomienda no acostarse antes de tener sueño, ni quedarse en cama si uno se despierta en medio de la noche y no puede volver a dormir. En caso contrario, se puede desarrollar ansiedad asociada con la cama, lo que no es bueno.
Los desafíos son combustible para el crecimiento
Verse en condiciones adversas permite aprender lecciones y desarrollar una mayor flexibilidad.
"Si aparece una situación difícil, algo que no puede cambiar, uno puede usarla como una oportunidad para practicar la aceptación. Si se siente estresado, puede utilizarlo como una oportunidad para practicar la no reacción", explica Pennie.
Asimismo, se pueden aprovechar las relaciones desafiantes como una oportunidad para practicar la habilidad de ponerse en el lugar de otra persona. Según Pennie, hay que concentrarte en el progreso cuando la vida le lanza a uno una bola curvada, pues las oportunidades de crecimiento están en todas partes.
El investigador también aconseja evitar, o limitar al menos, el consumo de alcohol, por ser una fuente de neurotoxicidad y causa principal de ansiedad en muchas personas.
Igualmente, hay que limitar el consumo de noticias negativas y medios sociales, y sustituirla por información positiva para el cerebro.
Si te ha gustado, ¡compártelo con tus amigos!



