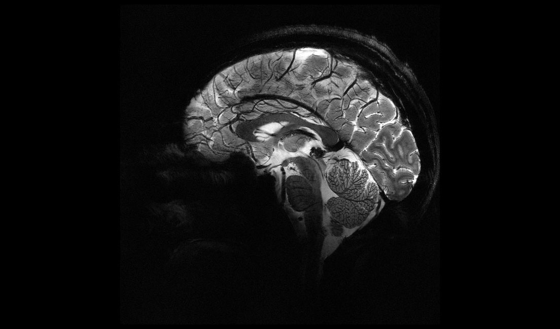
En un estreno mundial, los investigadores de la Comisión de Energía Atómica (CEA) de Francia revelaron este martes una serie de imágenes 'in vivo' del cerebro humano, adquiridas con la máquina de resonancia magnética más poderosa del mundo. La Iseult, que cuenta con un inigualable campo magnético de 11,7 teslas y fue construida en un esfuerzo de dos décadas, ha captado el cerebro vivo con una claridad sin precedentes.
This is the most precise image of the brain ever obtained, thanks to the CEA's MRI scanner, the most powerful in the world.It's a major breakthrough and a huge hope for the study of our health. Congratulations to the Iseult project team.Iconic! pic.twitter.com/KLPcloAORD
— Emmanuel Macron (@EmmanuelMacron) April 2, 2024
Una impresionante resolución
Las más notables imágenes anatómicas del cerebro nunca antes obtenidas se tomaron en apenas cuatro minutos. Los expertos señalan que su resolución es impresionante para un lapso temporal de adquisición tan corto. Se logró una resolución en el plano de 0,2 mm y grosor de corte de 1 mm, lo que representa un volumen equivalente a unos pocos miles de neuronas.
En comparación, la misma calidad de imagen requeriría horas con los escáneres de resonancia magnética actualmente disponibles (de 1,5 o 3 teslas). Esto no es realista en la práctica, ya que los pacientes no se sentirían cómodos y cualquier movimiento haría que la imagen se vea "borrosa".

Su utilidad
La ambición de los científicos es estudiar cerebros humanos sanos y enfermos con una resolución sin precedentes. Esto permitiría descubrir nuevos detalles relacionados con la anatomía, las conexiones y la actividad del cerebro. Lograr resoluciones tan altas facilitaría la obtención de información antes inalcanzable sobre los mecanismos cerebrales, comprender cómo el cerebro codifica nuestras representaciones mentales y descubrir qué firmas neuronales están asociadas al estado de conciencia, señalan desde el CEA.
"Con el proyecto Iseult, se abre ante nuestros ojos un mundo completamente nuevo y estamos entusiasmados de explorarlo […]. Nuestro objetivo es investigar las enfermedades neurodegenerativas de aquí a 2026-2030, así como otras enfermedades que pertenecen más al ámbito de la psiquiatría, como la esquizofrenia y los trastornos bipolares. ¡Las ciencias cognitivas también tendrán una importancia clave en nuestra investigación!", comentó Nicolas Boulant, director del proyecto Iseult.
Comprender el alzhéimer, el párkinson y los trastornos psiquiátricos
La información anatómica ultrafina ayudará a establecer un mejor diagnóstico y un mejor manejo de enfermedades neurodegenerativas como el alzhéimer o el párkinson. En segundo lugar, la máquina de resonancia magnética Iseult facilitará la detección de algunas especies químicas con señales débiles que son difíciles de capturar en campos magnéticos más bajos. Particularmente, los investigadores señalan que podría ser evaluada con precisión la distribución del litio en el cerebro, un fármaco utilizado para tratar los trastornos bipolares, y de este modo esperan comprender mejor su eficacia.
Los científicos también sostienen que podrán realizar un seguimiento de moléculas involucradas activamente en el metabolismo cerebral, como la glucosa y el glutamato, para obtener así información que contribuya directamente a la caracterización de muchas enfermedades cerebrales (gliomas, neurodegeneración, etc.).

"Neurocientíficos, físicos, matemáticos y médicos trabajaron juntos para desarrollar herramientas y modelos que ayuden a comprender mejor cómo funcionan los cerebros sanos y enfermos, ampliando los horizontes de exploración del cerebro humano", explicó Anne-Isabelle Etienvre, directora de Investigación Fundamental del CEA.




